
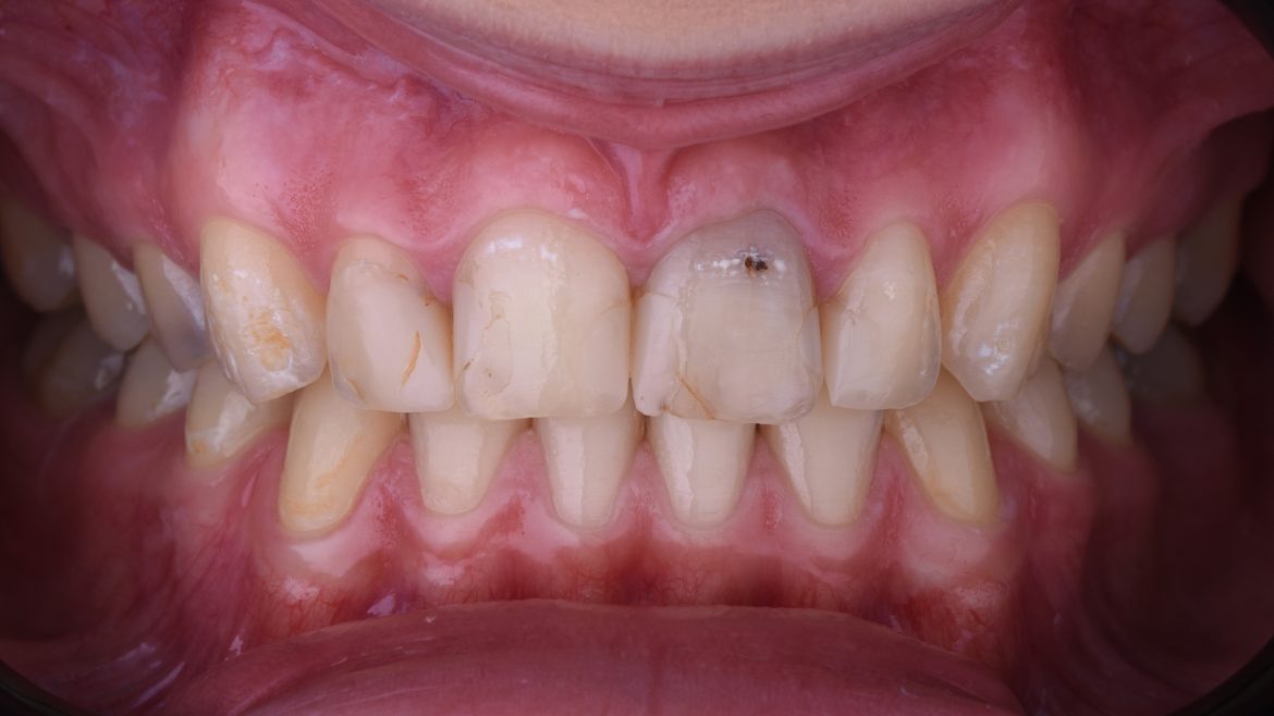
Dr Igor Ristić piše kako je jedna mlada pacijentkinja uz pomoć beljenja zuba i vinira dobila savršen osmeh i mogućnost da se ponovo smeje bez pokrivanja usta.
Zamislite da svaki put kada želite da se nasmejete prvo razmislite o tome da li da pokrijete rukom usta da se slučajno ne bi videlo ono manje lepo iza usana. I tako puno puta svakog dana, bez obzira na to gde ste ili sa kim ste.
Najlepše što čovek može da priušti sebi jeste da se iskreno nasmeje pred prijateljem ili voljenom osobom, a da se ne postidi svog osmeha. Neko to ne uradi nikada, samo zato što njegovi zubi jednostavno nisu lepi.


Mnogi tekstovi napisani su o tome kako osmeh pozitivno utiče na zdravlje, kako pospešuje lučenje hormona sreće i smanjuje stres.
Ono što mi kao stomatolozi možemo reći jeste da imamo izuzetnu čast da budemo prisutni kada ljudi po prvi put bez stida razvuku osmeh i pogledaju se u ogledalo.
Energija koja prožima osobu kada vidi svoj novi osmeh i shvati da će od tada tako izgledati i ubuduće, kombinacija je različitih pozitivnih emocija koje se prepliću: sreće, iznenađenja, euforije, zbunjenosti i osećaja atraktivnosti. Najčešće su oči te koje prve dobiju novi sjaj.
Ljudi tom prilikom često komentarišu situacije iz prošlosti u kojima ih je osmeh najviše sputavao, neko kaže da će tek sada moći da kaže sve ono što ranije nije mogao, neko da će sada ponovo pokušati da pridobije osobu koja mu se već dugo dopada, a neko će jednostavno reči da tek sada može da se – nasmeje!
Samo oni koji su doživeli transformaciju u osmehu znaju kako je to osloboditi svoju energiju da kroz osmeh šalju signale drugim ljudima.


Kako smo uz pomoć vinira dobili savršen osmeh
Naša pacijentkinja je mlada, ambiciozna, obrazovana devojka, dolazi kod nas sa željom da može slobodno da se nasmeje. Brz i efikasan tretman u njenoj situaciji doveo je do velike vizuelne promene. Keramički viniri i beljenje zuba bili su tretman koji je ona imala. Onog trenutka kada je dobila svoj novi osmeh, komunikacija već sa nama je bila drugačija. Sigurnost u sebe i lična satisfakcija je osećaj koji prati ove tretmane. Njen osmeh je tada postao njen zaštitni znak.


KONTAKT:
Dr spec. Igor Ristić
Centar za dentalnu estetiku i implantologiju “CDEI”
Cvijićeva 38, Beograd

